Skip to content. | Skip to navigation
4. April 2017
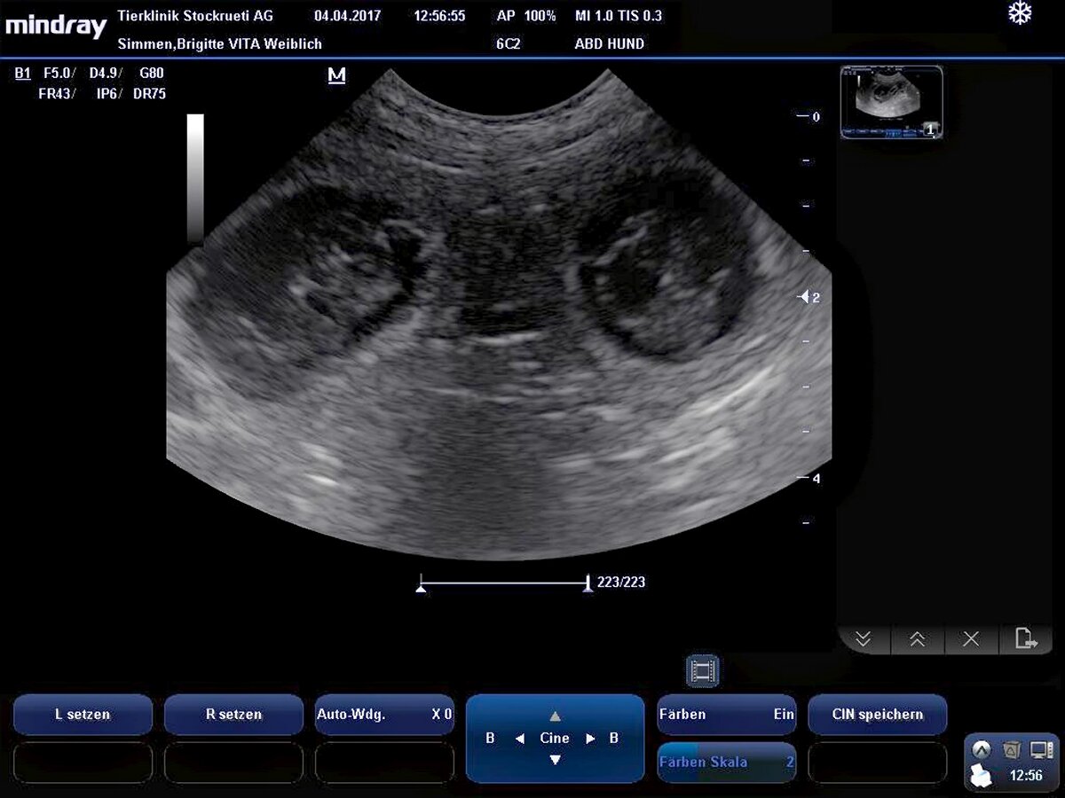
Nach dem heutigen Ultraschall ist Vita definitiv trächtig! Nun haben wir bereits Halbzeit - in ca 4 1/2 Wochen sollte der R-Wurf zur Welt kommen!
Marianne Fischer Oberer Hüsliweg 3 8166 Niederweningen Telefon +41 44 856 07 17 splashingwaters@bluewin.ch